Menggali Lebih Dalam tentang Kanker Tulang yang Menantang
Osteosarkoma : menggali lebih dalam tentang kanker tulang yang menantang – Osteosarkoma adalah jenis kanker tulang yang langka namun agresif, yang umumnya berkembang pada tulang panjang seperti lengan atas, kaki, dan lutut. Meskipun jarang terjadi, osteosarkoma cenderung menyerang anak-anak, remaja, dan orang muda, membuatnya menjadi salah satu jenis kanker tulang yang paling umum pada kelompok usia ini.
Apa Itu Osteosarkoma?

Osteosarkoma adalah tumor ganas yang berasal dari sel-sel tulang yang berkembang secara abnormal. Sel-sel ini tumbuh dan berkembang di luar kendali normal, membentuk massa tumor yang dapat merusak jaringan tulang sekitarnya. Kondisi ini sering kali memengaruhi tulang panjang, seperti paha atau lengan, tetapi dapat juga terjadi di tulang lainnya.
Faktor Risiko
Meskipun penyebab pasti osteosarkoma belum sepenuhnya dipahami, beberapa faktor risiko telah diidentifikasi. Anak-anak dan remaja yang mengalami pertumbuhan tulang yang cepat cenderung memiliki risiko lebih tinggi. Selain itu, adanya riwayat genetik atau kelainan genetik tertentu juga dapat meningkatkan kemungkinan seseorang terkena osteosarkoma.
Gejala

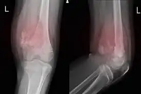
Gejala osteosarkoma dapat bervariasi, tetapi yang paling umum adalah nyeri tulang yang bertambah buruk seiring waktu. Pembengkakan, kemerahan, dan terkadang gangguan gerakan pada area yang terkena juga dapat muncul. Kadang-kadang, penderitanya dapat merasakan massa atau tonjolan di dekat tulang yang terkena.
Diagnosis dan Pengobatan

Penting untuk segera mendeteksi dan mendiagnosis osteosarkoma agar pengobatan dapat dimulai dengan cepat. Dokter akan melakukan serangkaian tes, termasuk pemeriksaan fisik, pencitraan seperti X-ray dan MRI, serta biopsi untuk memastikan diagnosis.
Pengobatan osteosarkoma melibatkan kombinasi terapi, termasuk pembedahan, kemoterapi, dan terapi radiasi. Pembedahan seringkali diperlukan untuk mengangkat tumor dan mencegah penyebarannya ke area lainnya. Kemoterapi dapat membantu membunuh sel-sel kanker yang mungkin telah menyebar ke bagian tubuh lain, sementara terapi radiasi dapat digunakan untuk menghancurkan sisa sel kanker setelah pembedahan.
Konsep Medical Hacking menawarkan cara pandang baru terhadap penanganan tumor dengan memahami korelasi antara stres kronis dan perkembangan tumor. Dengan memahami mekanisme ini, Rumah Terapi Medical Hacking dapat memberikan solusi dengan berbagai terapi yang tepat.
Jangan biarkan penyakit tumor menghalangi kebahagiaan dan produktivitas Anda. Dapatkan terapi sekarang dan temukan kembali kesehatan yang optimal! segera hubungi kami Rumah Sehat Medical Hacking, klik di sini.
Baca juga : Pejuang Cilik Sembuh Dari Mikrosefalus
Jangan Lewatkan Konsultasi Dengan Tenaga Kesehatan Kami (GRATIS)
Terapi merupakan bentuk perawatan yang paling aman, nyaman dan tepat untuk kondisi gangguan kesehatan semacam ini. Jika Anda membutuhkan terapi silakan menghubungi tenaga kesehatan kami di halaman ini. Selain itu, mengkonsumsi Anticancer+ juga sangat baik untuk menunjang perawatan. Untuk informasi lebih lanjut serta pemesanan untuk Anticancer+ dari Rumah Sehat Medical Hacking, klik di sini.
Khusus untuk pembaca setia, kami ingin menginformasikan kabar gembira. Banyaknya permintaan para pasien RS Medical Hacking yang meminta kami membuka layanan anti aging and aesthetic clinic. Untuk pasien yang ingin tetap muda, sehat dan berkualitas. Layanan anti aging and aesthetic clinic juga meliputi terapi perawatan bekas luka, kelemahan kulit, kerutan, kelebihan lemak, selulit, kecantikan, jerawat, penuaan diri, flek hitam dan urat laba-laba bisa hubungi terapis untuk mendapatkan KONSULTASI GRATIS langsung di sini.
Selain layanan anti aging and aesthetic clinic, RS Medical Hacking juga membuka layanan slimming therapy berbasis akupunktur medik. Badan Kesehatan Dunia / World Health Organization (WHO) sejak tahun 1991 telah menerima akupunktur sebagai cara pengobatan dan sejak tahun 2002 akupunktur telah diterapkan/digunakan setidaknya di 78 negara. Anda pun dapat menikmati layanan slimming therapy untuk mengecilkan lingkar perut, lingkar paha, perut buncit dan obesitas dengan mengunjungi halaman ini.
Kabar gembira berikutnya adalah khusus untuk para pria yang sangat mencintai istrinya dan sangat ingin sekali menjadi juara dan idola istri di ranjang. RS Medical Hacking telah sukses mewujudkan impian banyak istri yang mendambakan suaminya menjadi juara diranjang dengan membuka layanan klinik terapi kejantanan untuk editansil di sini. (Lili)